|
1994
|
"Le grand chasseur" wie ihn die Nachbarn
in Südfrankreich neidvoll nannten: Ratten oder Siebenschläfer hatten in
unserem Keller keine Chance :-)
|
Gino (EKH)
Tierheim
Karlsruhe
|
* 07/1990
|
+ 01/2007
chron. Niereninsuffizienz
|
|
1998
|
Herrscherin über die Katzengruppe- wer ihr als Neuzugang missfiel hatte kein
leichtes Leben
|
Emmalein (EKH)
Katzennothilfe
Türkei
|
* 07/1998
|
+ 02/2009
plötzlicher Herztod
|
|
1998
|
Das krasse Gegenteil seiner Schwester: huschig und kopflos
|
Otto (EKH)
Katzennothilfe
Türkei
|
* 07/1998
|
+ 09/2003
unklare Vergiftung
|
|
2001
|
Sehr
eigenwillige "Gedankenleserin"- Spaziergänge und
Fütterungen werden schon wahrgenommen, bevor der Mensch den
Entschluss dazu im Kopf formuliert hat ...
|
Paula (Labrador)
|
* 05/2001
|
|
|
2002
|
Der Rennpass
ist ihre bevorzugte Gangart, bei der sie sich ungern die Richtung vorgeben
lässt ...
|
Hrisey (Isländer)
|
* 05/1996
|
|
|
2003
|
Die "Unabhängige", die ihr Leben in der Herde
genießt
|
Greta (Isländer)
|
* 04/1994
|
|
|
2003
|
Die südfranzösische Fahrweise wurde der Schönen zum Verhängnis
|
Minna (EKH)
Tierheim
Südfrankreich
|
* 08/2003
|
+ 10/2004
wurde von einem Auto erfasst
|
|
2003
|
Minnas Bruder hat sich dann so intensiv Emmalein angeschlossen, dass er ihr aus
Trauer nur wenige Monate später über die Regenbogenbrücke folgte ...
|
Oskar (EKH)
Tierheim Südfrankreich
|
* 08/2003
|
+ 07/2009 unklares
Organversagen
|
|
2004
|
Aus dem Angstschnapper entwickelte sich der "jeden-um-den-Finger-wickel"-
Charmeur
|
Scap (Schäfer-Terrier-Mix)
Tierheim
Südfrankreich
|
* 06/2002
|
|
|
2005
|
Mirabelle wurde das Rudel zu groß, sie zog in die
Nachbarschaft, kommt gelegentlich zum Fressen und genießt ihr Leben in
selbstbestimmter Freiheit
|
Mirabelle (EKH)
Tierheim Südfrankreich
|
* 07/2002
|
|
|
2005
|
Da Mirabelle ihren einzigen Welpen nur widerwillig aufzog, hatte der
kleine Kerl keinen besonders guten Lehrmeister ...
|
Max (EKH)
Tierheim
Südfrankreich
|
* 07/2005
|
+ 12/2006
unklare Vergiftung
|
|
2006
|
Püppi sollte eingeschläfert werden, hat sich dann aber noch einige Monate
sehr gut erholt ...
|
Püppi (EKH)
Tierheim
Wörth
wurde bereits krank
zur Pflege übernommen
|
* 08/1999
|
+ 12/2006
multiples Organversagen
|
|
2007
|
Sie kam zusammen mit Anton als
Patient, weil beide vor der geplanten Vermittlung Katzenschupfen bekamen ...
|
Pünktchen (EKH)
Fundtier im
Elsass
|
* 04/2007
|
|
|
2007
|
... nach ihrer Genesung sind sie dann ganz einfach da geblieben ...
|
Anton (EKH)
(Fundtier im Elsass)
|
* 04/2007
|
seit dem 05.11.2009
ist er spurlos verschwunden
|
|
2008
|
Die behinderte Dogge, die vom Züchter die ersten 6 Monate ihres Lebens
ohne große Bewegungsmöglichkeiten in einer
Box gehalten wurde, sollte "entsorgt" werden, weil sie keinen Gewinn abwarf. Nach einer
schweren Hüftoperation mit knapp einem Jahr ist sie nun dafür zuständig, dass Scap sein
tägliches "Rauftraining" bekommt
|
Lilly (Dt. Dogge)
Grenzenlose
Hundehilfe
|
* 07/2007
|
|
|
2009
|
Mimi sollte Oscar über den
Verlust von Emmalein hinwegtrösten - der Plan ging nicht auf ... statt dessen
"rettete" er auf diese Weise vier weitere Katzen:
|
Mimi (EKH)
Grenzenlose
Hundehilfe
Bei der Voruntersuchung zur Kastration stellte sich heraus, dass Mimi bereits im
fortgeschrittenen Stadium trächtig war - am 13.07.2009 bekam
sie ihre 4 Welpen:
|
* 10/2006
|
|
|
2009
|
Die Erstgeborene, die ihre Rolle als Anführerin sehr
wichtig nimmt
|
Florentine (EKH)
|
* 07/2009
|
|
|
2009
|
Sieht aus wie ein Engel, hat es aber
faustdick hinter den Ohren
|
Flöckchen (EKH)
|
* 07/2009
|
|
|
2009
|
Die Sanfte, Zurückhaltende ...
|
Flûte (EKH)
|
* 07/2009
|
|
|
2009
|
Der einzige Mann in der jungen Truppe- hat kaum was zu
sagen und fühlt sich am wohlsten bei Flûte ...
|
Indurain (EKH)
|
* 07/2009
|
|
|
2010
|
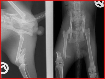
 Mohammed ist
ein junger Fundkater, der vermutlich einen Autounfall hatte und halbtot im
Gebüsch lag. Sein Oberschenkel war so gebrochen und gegeneinander
verschoben, dass man sich seine Schmerzen gar nicht vorstellen mag.

Röntgenbild Juli 2010

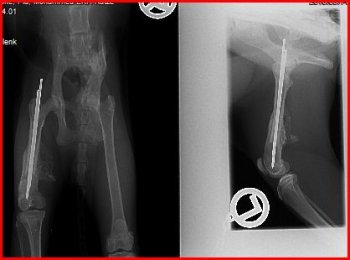
Röntgenbild Sep. 2010 nach Einrichten des Bruchs mit zwei Nägeln Mittlerweile
rennt er wie ein Sausewind die Bäume hoch und runter und freut sich an seinem
neuen Leben ...
|
Mohammed (EKH)
|
* 04/2010
|
seit dem 05.09.2011
ist er spurlos verschwunden
|